珀斯男子柯蒂斯·布兰斯比在令人震惊的巴厘岛高尔夫球车事故中手臂骨折后仍在挣扎

˂pclass="c067-a146-2b84-f4c5 description"˃对于一位珀斯的父亲来说,豪华的巴厘岛之旅变成了一场持续的噩梦,因为他乘坐...

对于一位珀斯的父亲来说,豪华的巴厘岛之旅变成了一场持续的噩梦,因为他乘坐高尔夫球车的短途旅行以灾难告终。

柯蒂斯·布兰斯比当时正在云加山五星级的卡玛·坎达拉酒店度假,他被从车上扔到一堵砖墙上,手臂骨折,从此无法工作。

这名47岁的男子和他的妻子以及两个分别为3岁和5岁的女儿,当时他们乘坐的是一辆由酒店员工驾驶的童车,行驶在度假村一条“又陡又滑”的小路上,突然撞上了另一辆童车。

布兰斯比先生告诉7NEWS,撞击使他飞到一堵砖墙上,导致他手臂上的骨头“粉碎”。坐在他腿上的三岁孩子也被甩出了车外,额头受伤。

幸运的是,他的妻子和另一个女儿成功逃脱,没有受伤。

一份酒店事故报告称,这辆车的“刹车失灵,(车辆)失去控制,与另一辆车相撞”。

这位47岁的父亲说,事故“把我的手臂炸成了碎片”,让它“像一根绳子一样挂在我身后”。

修复骨折所需的手术费用由旅行保险支付,但布兰斯比表示,他仍在努力从9月20日的坠机中恢复过来,现在被诊断出患有复杂的局部疼痛综合征。

他告诉7NEWS:“我连续两个月剧烈疼痛,现在仍然有悸动和痉挛的疼痛,如果我撞到或移动不正确,那就难以忍受了。”

Curtis Bransby says he has been unable to work since the accident.

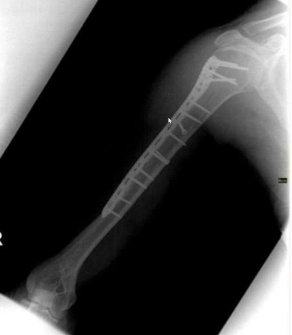
Mr Bransby had to undergo immediate surgery to repair the broken arm.

这意味着自从事故发生后他就无法工作了。与此同时,账单越来越多,亲戚们不得不凑钱,以免家庭拖欠抵押贷款。

“账单不会自动消失,也不会自动支付,”布兰斯比表示。

酒店向布兰斯比提供了7600美元的特惠金,但他表示这还不够。他希望这笔钱能弥补他的工资损失、医疗费用以及重新安排航班的费用。

布兰斯比表示:“覆盖工资是件好事——这是一个开始。”

“(酒店)不承认责任,但这在道德上是正确的。

“如果我女儿死了会怎么样?”

酒店的一位发言人告诉7NEWS,他们仍在与布兰斯比先生谈判,正在等待医疗报告。他们说,酒店还在对安全程序进行审查。

“发生的不幸事故既罕见又不可预见,”他们说。

本文来自作者[晴迅]投稿,不代表文学号立场,如若转载,请注明出处:https://8ucq.com/wenxuehao/12154.html

(27)

文章推荐

发表回复

本站作者才能评论

评论列表(4条)

  • 晴迅
    晴迅 2025-09-27

    我是文学号的签约作者“晴迅”!

  • 晴迅
    晴迅 2025-09-27

    希望本篇文章《珀斯男子柯蒂斯·布兰斯比在令人震惊的巴厘岛高尔夫球车事故中手臂骨折后仍在挣扎》能对你有所帮助!

  • 晴迅
    晴迅 2025-09-27

    本站[文学号]内容主要涵盖:文学号, 名著深析, 创作秘笈, 经典文脉, 诗词鉴赏, 作家故事, 每日文萃, 写作指南, 文本细读, 文学灯塔, 经典重释

  • 晴迅
    晴迅 2025-09-27

    本文概览:˂pclass="a24d-dc4a-c17e-b06f description"˃对于一位珀斯的父亲来说,豪华的巴厘岛之旅变成了一场持续的噩梦,因为他乘坐...

    联系我们

    邮件:文学号@sina.com

    工作时间:周一至周五,9:30-18:30,节假日休息

    关注我们