人工智能找到了通往人类心脏的途径:新模型可以对心脏功能进行分类,并确定瓣膜性心脏病

˂pclass="1541-55d5-a1fe-b8fd description"˃˂pclass="c775-5919-30b0-7359 description"˃AI(人工智能)听起来像...

AI finds a way to people's hearts (literally!)

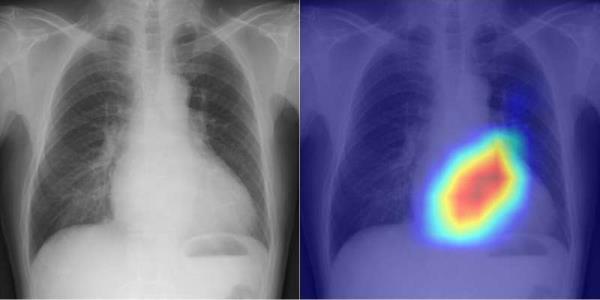
AI(人工智能)听起来像是一个冰冷的机器人系统,但大阪城市大学的科学家们已经证明,它可以提供温暖人心的支持,或者更确切地说,是“心脏警告”。他们公布了一项人工智能的创新应用,该应用可以对心脏功能进行分类,并以前所未有的准确性确定瓣膜性心脏病,这表明医学和技术领域的融合在推进患者护理方面取得了持续进展。研究结果将发表在《柳叶刀数字健康》杂志上。

瓣膜性心脏病是心力衰竭的原因之一,通常使用超声心动图进行诊断。然而,这种技术需要专门的技能,因此相应的缺乏合格的技术人员。与此同时,胸部x线摄影是识别疾病(主要是肺部疾病)的最常见检查之一。尽管在胸片上也能看到心脏,但迄今为止,人们对胸片检测心脏功能或疾病的能力知之甚少。

许多医院都进行胸部x光摄影或胸部x光检查,进行这些检查所需的时间很少,这使得它们非常容易获得和可重复。因此,由大阪城市大学医学研究生院诊断和介入放射学专业的上田大久博士领导的研究小组认为,如果可以通过胸部x光片确定心脏功能和疾病,那么这项测试可以作为超声心动图的补充。

上田博士的团队成功开发了一种利用人工智能从胸部x光片中准确分类心脏功能和瓣膜性心脏病的模型。由于在单个数据集上训练的人工智能存在潜在的偏见,导致准确性低,因此该团队将目标对准了多机构数据。

因此,在2013年至2021年期间,从四个机构的16,946名患者中收集了22,551张胸片和22,551张超声心动图。以胸片为输入数据,超声心动图为输出数据,训练AI模型学习连接两个数据集的特征。

人工智能模型能够精确地对六种选定的瓣膜性心脏病进行分类,其曲线下面积(AUC)的范围从0.83到0.92。(AUC是表示AI模型能力的评级指标,使用的值范围为0到1,越接近1越好。)在检测左心室射血分数(监测心功能的重要指标)的40%截止时,AUC为0.92。

“我们花了很长时间才得到这些结果,但我相信这是一项重要的研究,”上田博士说。“除了提高医生的诊断效率外,该系统还可以用于没有专家的地区,夜间紧急情况,以及难以接受超声心动图检查的患者。”

更多信息:Daiju Ueda等,基于人工智能的胸片心功能分类模型:多机构模型开发和验证研究,《柳叶刀数字健康》(2023)。DOI: 10.1016 / s2589 - 7500(23) 00107 - 3。(23)00107-3/全文由大阪城市大学提供引文:人工智能找到通往人类心脏的途径:新模型对心脏功能进行分类并确定瓣膜性心脏病(2023,7月6日)检索自https://medicalxpress.com/news/2023-07-ai-people-hearts-cardiac-functions.html。除为私人学习或研究目的而进行的任何公平交易外,未经书面许可,不得转载任何部分。内容仅供参考之用。

本文来自作者[啊爹]投稿,不代表文学号立场,如若转载,请注明出处:https://8ucq.com/wenxuehao/2883.html

(39)

文章推荐

发表回复

本站作者才能评论

评论列表(4条)

  • 啊爹
    啊爹 2025-09-02

    我是文学号的签约作者“啊爹”!

  • 啊爹
    啊爹 2025-09-02

    希望本篇文章《人工智能找到了通往人类心脏的途径:新模型可以对心脏功能进行分类,并确定瓣膜性心脏病》能对你有所帮助!

  • 啊爹
    啊爹 2025-09-02

    本站[文学号]内容主要涵盖:文学号, 名著深析, 创作秘笈, 经典文脉, 诗词鉴赏, 作家故事, 每日文萃, 写作指南, 文本细读, 文学灯塔, 经典重释

  • 啊爹
    啊爹 2025-09-02

    本文概览:˂pclass="021c-b4d0-dc68-ee85 description"˃˂pclass="b4d0-dc68-ee85-9dcf description"˃AI(人工智能)听起来像...

    联系我们

    邮件:文学号@sina.com

    工作时间:周一至周五,9:30-18:30,节假日休息

    关注我们