一名神经外科医生从一名妇女的大脑中取出一条活生生的蠕动的蠕虫后,感到“恶心”。
外科医生Hari Priya Bandi正在通过这名64岁女性大脑中的一个洞进行活检。
在这位老妇人开始出现无法解释的症状后,他们开始了手术。
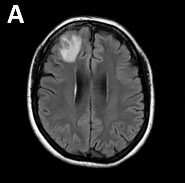
医生最没想到的就是用镊子取出一个8厘米长的寄生虫。
这一令人震惊的发现去年发生在堪培拉医院,该医疗机构是位于澳大利亚堪培拉加兰的一家教学医院。

在接受当地媒体采访时,班迪说:“我只是想:那是什么?这没有任何意义。但它是鲜活的,动人的。”
它继续充满活力地移动着。我们都觉得有点不舒服,”班迪在谈到她的手术团队时说。
这种生物是一种澳大利亚本土蛔虫的幼虫,此前人们并不知道它是一种人类寄生虫,它被命名为Ophidascaris robertsi。
这种蠕虫通常在地毯蟒身上发现。

Bandi和传染病医生Sanjaya Senanayak共同撰写了一篇关于这一可怕病例的文章,发表在最新一期的《新发传染病》杂志上。
Senanayake说,去年6月,当蠕虫被发现时,他正在医院值班。
他们说:“我接到一个电话说:我们有一个病人感染了。我们刚刚从这个病人的大脑里取出了一条活的蠕虫。”
据报道,这位64岁的老人的症状包括健忘和日益严重的抑郁症。

但一年前,她因腹痛、腹泻、干咳和盗汗等症状住进了新南威尔士州的一家医院。
Senanayake说,大脑活检预计会发现癌症或脓肿。
塞纳纳亚克说:“这名患者接受了一种神秘疾病的治疗,我们认为最终是一种免疫疾病,因为我们之前没有找到寄生虫,然后不知从哪里冒出来的,这个大肿块出现在她的大脑前部。”
“突然,她用她的(Bandi的)镊子夹起了这个扭动的东西。她和手术室里的每个人都惊呆了。”塞纳亚克补充道。
这种蠕虫的卵通常在蛇的粪便中脱落,这些粪便被小型哺乳动物吃掉。
当其他蛇吃掉哺乳动物时,生命周期仍在继续。
这名妇女住在地毯蟒栖息地附近,她正在寻找一种叫做warrigal greens的原生植物来烹饪。
虽然她没有直接接触过蛇,但科学家们猜测她是吃了植物或她被污染的手的卵。
本文来自作者[暖琪]投稿,不代表文学号立场,如若转载,请注明出处:https://8ucq.com/wenxuehao/5721.html
评论列表(4条)
我是文学号的签约作者“暖琪”!
希望本篇文章《神经外科医生离开病人“感觉不舒服”,从病人大脑中取出活的蠕动蠕虫》能对你有所帮助!
本站[文学号]内容主要涵盖:文学号, 名著深析, 创作秘笈, 经典文脉, 诗词鉴赏, 作家故事, 每日文萃, 写作指南, 文本细读, 文学灯塔, 经典重释
本文概览:˂pclass="8a6f-22f0-484b-f34e description"˃˂pclass="22f0-484b-f34e-30a2 description"˃一名神经外科医生从一名妇女...